“熬夜刷手機”“作息晝夜顛倒”,正悄悄擊垮許多年輕人。
日前,話題“30歲小伙長期熬夜智力退回3歲”登上社交平臺熱搜,頻發的年輕患者病例為我們敲響警鐘。

近一個月內,寧波大學附屬第一醫院感染科已連續收治8例腦膜炎患者,他們的平均年齡僅26歲,最小的患者甚至只有16歲。
熬夜刷手機
25歲夜貓子“刷”出腦膜炎
25歲的小李(化名)每天刷手機視頻到凌晨三四點。今年10月,她出現發熱癥狀,體溫最高達38℃,還伴隨持續頭脹。有時候明明沒溫度,但頭依然很脹。起初,小李以為沒休息好,直到發熱持續超過一周,才來到醫院。
腦部磁共振報告顯示其“雙側額顳部腦膜稍增厚伴強化”,提示腦膜炎。經5天抗病毒治療,小李病情好轉出院。
習慣性熬夜患“腦膜炎伴腦炎”
智力退至3歲水平
與小李相比,30歲的寧波小伙小張(化名)病情更為兇險。他平時晚上沒事喜歡打游戲,有時一玩就到了凌晨。
直到有一天小張因沒去上班,被發現在宿舍高燒不退、言語不清,隨即被送往醫院。
送醫途中,小張病情急劇惡化,轉至寧波大學附屬第一醫院時已陷入昏迷。經檢查,小張確診“病毒性腦膜炎伴腦炎”,這意味著他不僅腦膜發炎,腦實質也受到感染。
經治療,小張雖脫離了生命危險,卻留下嚴重后遺癥——智力退至3歲兒童水平,生活完全不能自理。
熬夜為何會誘發腦膜炎?
為何看似平常的“熬夜玩手機”,會讓年輕人患上腦膜炎?寧波大學附屬第一醫院感染科副主任醫師錢國清解釋,這與“血腦屏障”和免疫力密切相關。
血腦屏障是大腦的“保護罩”,能阻擋細菌、病毒等病原體進入顱內,雖然熬夜本身不足以致病,但這一不良習慣會破壞這層“保護罩”。
長期熬夜容易導致生物鐘紊亂,血腦屏障通透性增加,病原體更容易突破屏障入侵顱內;
熬夜會使免疫細胞活性降低,人體抵抗力下降,原本存在于呼吸道、消化道內,與人體共生的病原體,會在免疫力薄弱時“興風作浪”,引發感染。
長期熬夜還會導致神經內分泌系統紊亂,進一步削弱身體對感染的抵抗能力。
在常見的腦膜炎致病病毒中,皰疹病毒最為多見,其次是腸道病毒。這類病毒引發的顱內感染,輕癥患者經及時抗病毒治療,通常5-7天即可好轉,不會留下后遺癥。

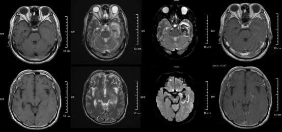
某單純皰疹病毒性腦炎患者的醫學影像。圖源:浙江大學醫學院附屬第二醫院
但如果拖延治療,甚至會引發腦炎,可能出現癲癇、肢體偏癱、尿潴留、認知功能障礙等嚴重后遺癥,恢復時間長達3-6個月,甚至影響終身。
早期像感冒警惕腦膜炎這些癥狀
不同類型的腦膜炎可能會導致不同的癥狀。但幾乎所有類型的腦膜炎都會引起以下癥狀:
發熱、頭痛和頸部僵硬(下頜難以降至胸部),部分患者可出現惡心、食欲減退、乏力、嗜睡、反應遲鈍等癥狀。不過,老年人或正在服用免疫抑制劑的人可能不會出現頸部僵硬或發熱。
預防腦膜炎,關鍵在于日常的健康生活習慣。
保持規律作息,避免長期熬夜,每晚保證7-8小時睡眠。
加強營養,注意均衡飲食,適當運動,增強體質。
注意個人衛生,尤其是手部清潔,避免用手觸摸口、鼻、眼睛等部位,防止病毒進入體內。
國家應急廣播提醒
熬夜人群不要過度恐慌
但若出現不明原因的
發熱、頭痛、嘔吐等
應及時就醫排查顱內感染
盡早診斷和治療至關重要
本文鏈接:30歲小伙長期熬夜智力退回3歲 年輕人患“腦膜炎”病例為何頻發http://m.sq15.cn/show-5-77749-0.html
聲明:本網站為非營利性網站,本網頁內容由互聯網博主自發貢獻,不代表本站觀點,本站不承擔任何法律責任。天上不會到餡餅,請大家謹防詐騙!若有侵權等問題請及時與本網聯系,我們將在第一時間刪除處理。
上一篇: 黃金稅收新政后 在哪兒買 “金條”更劃算